Crowded Teeth In Adults And Children What You Should Know

0
19

Crowded teeth are a common dental issue that can affect both adults and children, impacting oral health, function, and appearance. Misaligned teeth occur when the jaw lacks enough space for all teeth to fit properly, causing overlap or twisting. This condition can lead to difficulties in cleaning, speech problems, and even self-confidence concerns. For those seeking professional solutions, Crowded Teeth Treatment In Dubai offers advanced orthodontic care designed to address alignment issues in patients of all ages safely and effectively.

What Are Crowded Teeth:

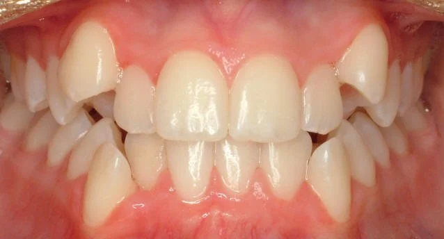
Crowded teeth occur when the size of the teeth exceeds the available space in the jaw. This results in overlapping, rotation, or displacement of teeth, which can affect both the upper and lower jaws.

  • Teeth may appear crooked or twisted

  • Bite may be uneven, causing jaw strain

  • Difficulty brushing or flossing due to tight spacing

  • Aesthetic concerns can affect confidence

Causes Of Crowded Teeth In Children:

Crowding in children often develops during growth due to a combination of genetic and environmental factors.

  • Genetic Traits: Inherited jaw size or tooth size discrepancies

  • Early Loss Of Baby Teeth: Shifts neighboring teeth into open spaces

  • Delayed Tooth Eruption: Permanent teeth erupt improperly due to lack of space

  • Childhood Habits: Thumb sucking, tongue thrusting, or prolonged pacifier use

  • Jaw Growth Issues: Uneven growth patterns reduce available space for teeth

Causes Of Crowded Teeth In Adults:

Adults may experience crowding due to natural shifts, aging, or untreated dental issues from childhood.

  • Teeth naturally shift over time due to pressure and jaw changes

  • Previous dental trauma or missing teeth can cause displacement

  • Wisdom teeth eruption can push existing teeth forward

  • Untreated childhood crowding may worsen with age

Symptoms Of Crowded Teeth:

Recognizing crowded teeth early helps prevent complications and ensures timely treatment.

  • Overlapping, twisted, or rotated teeth

  • Difficulty cleaning between teeth

  • Bite misalignment causing jaw discomfort

  • Food frequently trapped between teeth

  • Higher risk of cavities, gum disease, and bad breath

How Crowded Teeth Affect Oral Health:

Crowding can lead to serious oral health problems if left unaddressed, making professional treatment important.

  • Hard-to-reach areas encourage plaque and tartar buildup

  • Increased risk of tooth decay and gum inflammation

  • Uneven pressure may wear down enamel or stress the jaw

  • Chewing difficulties can affect digestion

  • Persistent halitosis from trapped food debris

Diagnostic Methods For Crowded Teeth:

Orthodontists use modern tools to evaluate the degree of crowding and develop tailored treatment plans.

  • Visual Inspection: Detects obvious misalignment and overlapping

  • X-Rays: Assess jaw structure and tooth position

  • 3D Scans Or Impressions: Offer precise modeling for treatment planning

  • Bite Analysis: Evaluates functional impact on chewing and alignment
    Specialists providing Crowded Teeth Treatment In Dubai rely on these diagnostic methods to ensure accurate and effective results.

Treatment Options For Children:

Early intervention can prevent worsening crowding and make treatment simpler and faster in children.

  • Palatal Expanders: Widen the jaw to accommodate teeth

  • Braces: Guide teeth into proper alignment as they grow

  • Space Maintainers: Preserve space after premature tooth loss

  • Clear Aligners: Removable and comfortable option for mild to moderate crowding

Treatment Options For Adults:

Adults can also achieve effective results with modern orthodontic solutions tailored to their lifestyle and dental needs.

  • Traditional Braces: Metal or ceramic braces for precise movement

  • Clear Aligners: Discreet, removable, and suitable for mild to moderate cases

  • Tooth Extraction: Creates space in severe crowding scenarios

  • Retainers: Maintain results after orthodontic treatment
    Timely Crowded Teeth Treatment In Dubai ensures both cosmetic and functional improvement for adults.

Benefits Of Treating Crowded Teeth:

Correcting crowded teeth provides multiple advantages beyond just a straighter smile.

  • Easier brushing and flossing improve oral hygiene

  • Balanced bite reduces jaw strain and enamel wear

  • Enhanced speech and chewing function

  • Increased confidence and willingness to smile

  • Lower risk of gum disease, cavities, and other dental issues

Preventive Measures And Lifestyle Tips:

While genetics cannot be controlled, early care and proper habits can reduce the severity of crowded teeth.

  • Regular dental visits to monitor tooth growth and alignment

  • Avoid prolonged thumb sucking or pacifier use in children

  • Address early or delayed tooth eruption promptly

  • Maintain consistent oral hygiene to support healthy gums and teeth

  • Follow orthodontist guidance on retainers and dental appliances

Final Thoughts:

Crowded teeth affect people of all ages, but early detection and treatment make a significant difference in both health and appearance. Addressing crowding through orthodontic care not only improves oral hygiene and bite function but also enhances confidence and social interactions. Whether in children or adults, professional Crowded Teeth Treatment In Dubai offers personalized, modern solutions to co

Search
Categories
Read More
Other
Umami flavors Market, Analysis, Trends, Growth and Forecast (2024-2033)
According to the Univdatos, increasing consumer demand for savory, rich-tasting foods and the...
By Praveen Gupta 2025-10-10 07:58:22 0 32
Other
How Expats Benefit From Environmentally Responsible Car Wash Applications Across UAE
The United Arab Emirates has long been a global hub for professionals from around the world...
By Five Programmers 2025-11-01 07:05:32 0 23
Other
Compound Tube Market Outlook: USD 1.7 Billion by 2030, Driven by Energy and Aerospace Demands
Global Compound Tube Market demonstrated resilience in 2023 with a valuation of USD 1.2 billion,...
By Kunal Chandgude 2025-11-04 12:22:57 0 15
Other
Global Expansion Ahead for Workshop Management Software Market
Workshop Management Software Market Overview According to the research report, the global...
By Shubham Kad 2025-10-29 07:24:19 0 15
Other
Industrial Lifting Stations Market Analysis, Size, Share, Growth, Trends, Opportunities and Forecast
According to a new report from Intel Market Research, the global Industrial Lifting Stations...
By Priya Intel 2025-10-17 10:12:34 0 44